At Unique Orthodontics, we believe that the greatest compliment you can give us is to tell your family and friends where you got your new smile! We have had the opportunity to change lives, by enhancing our patients, one-and-only, unique smile. Behind every unique face is a story to share. As you read through these stories we hope you enjoy them as much as we do. Every story is worth sharing, please consider sending us yours!
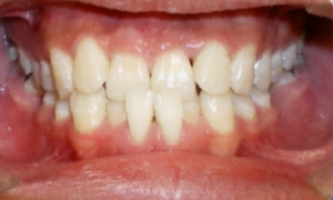
Before & After
See real patient smile transformations.

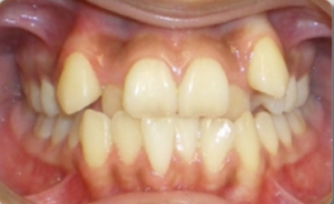
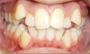
Before

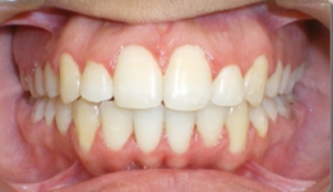
After

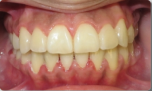
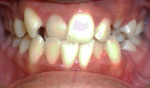
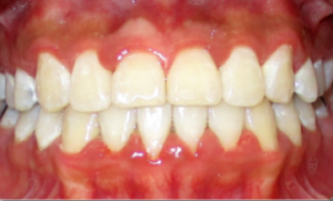
Before

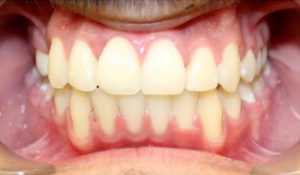
After

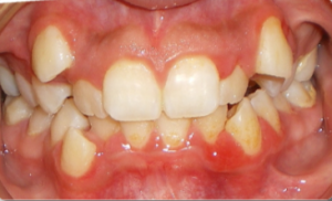
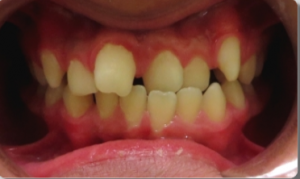
Before

After

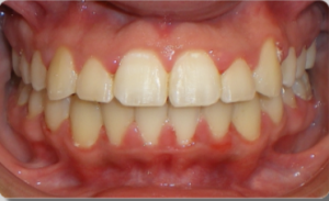
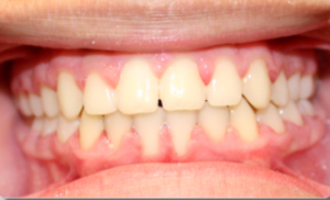
Before

After

Before

After

Before

After
Before
After
Before
After
Smiles Backed by Real Experiences
We’re proud to provide a welcoming orthodontic experience for every patient and family who walks through our doors.
The staff is great. They listened to all of our concerns and answered all of the questions. I had a lot and they were so patient. It was a great experience.
My son had a great experience getting his braces. Rachel did amazing with explaining to him every step of the way. Thank you to Dr. and team for answering all of our questions.
Brought my daughter in for a consultation and Michelle explained to me everything very well. My daughter was happy with the visit. The office is nice and clean. The front desk girls were very helpful too.
The orthodontic here is just wonderful. All the staff is friendly and so very welcoming. It’s the best place to come and get your braces. Highly recommended — 5 wonderful stars.
Great service and very welcoming. I’ve had my braces for over a year and enjoy every time I go and get them tightened. They make it a very welcoming experience.
Very nice and professional staff. They helped my daughter with her braces and answered all her questions.
Unique Orthodontics is very clean and organized. I got my braces on and I had the best care for my teeth by the staff and doctors. Amazing and kind!
My son is currently a patient here for braces. Staff is always friendly and his appointments are always on time and fast. We are very happy with the service.
Awesome service! Had all my kids with Unique and we’ve had great experiences every time! Would highly recommend! Thank you.
